The right dental implant prosthetics for long-term success with BioniQ Plus implants
Dr. Volker Bonatz, M.Sc. M.Sc.
- Dr. Volker Bonatz received his dental education at the Christian-Albrechts-University of Kiel, Germany. He then gained diverse experience during his residency, serving at the Wilhelmshaven Naval Medical Corps and in various specialist practices.
- He earned a Master of Science (M.Sc.) in Oral Surgery/Implantology in 2010, and a Master of Science (M.Sc.) in Aesthetic Reconstructive Dentistry in 2013.
- He speaks at conferences in Germany and internationally on implantological and prosthetic topics. He is also a member of the German Society of Oral Implantology (DGOI).
- Dr. Bonatz operates a private practice in Landau, specializing in implantology and aesthetic- functional treatments. His approach focuses on providing patients with aesthetically pleasing and long-lasting functional solutions, carefully tailored to each individual‘s manual dexterity and financial considerations.
“This case demonstrates exceptional tissue stability, attributable to three key factors: the high quality of LASAK implants, a carefully designed prosthetic restoration that avoids ‘overstimulation’, and the patient‘s diligent oral hygiene practices, which she maintains admirably despite her advanced age.”
Anamnesis
A 70-year-old female patient presented with a significantly damaged tooth 26. This tooth was part of a bridge construction that.had been in place for over three decades. Upon examination, we found the tooth to be extensively destroyed subcoronally. Our treatment plan involved the careful removal of the compromised tooth 26, including its roots, without the need for osteotomy. Following the extraction, we proposed placing BioniQ Plus implants in the areas of teeth 25 and 27.
Clinical casebook
The initial situation – tooth 26 is destroyed subcoronally.
After healing, two 12 mm long BioniQ Plus implants with a 3.5 mm diameter and 1.7 mm high machined neck were inserted and the area was simultaneously augmented with autologous bone and PORESORB-TCP. The augmented area was covered with a collagen membrane (Collagene AT®).
The selection of this type of implant took into account the esthetic characteristics of the upper posterior region.
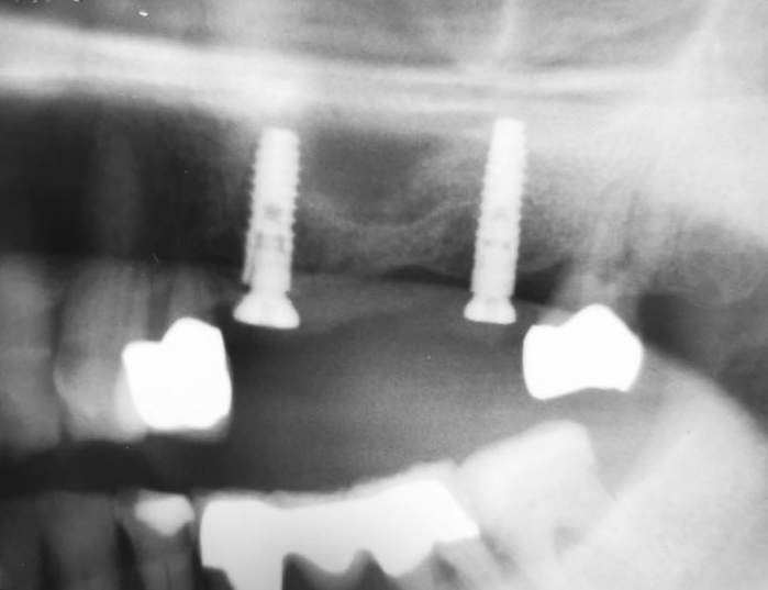
Postoperative control radiograph: the gingiva former at 24 still needs to be retightened.
The prosthetic phase followed five months after open healing.
The ISQ value determined after exposure was 74 ISQ on both BioniQ Plus implants.
The occlusally open and screw-through design.
The dental technician decided to complete the prosthetics “in one session”. The model situation with a zirconium oxide bridge placed on the prefabricated abutments.
Both esthetic abutments with periodontal-friendly cervical design are screw-retained intraorally.
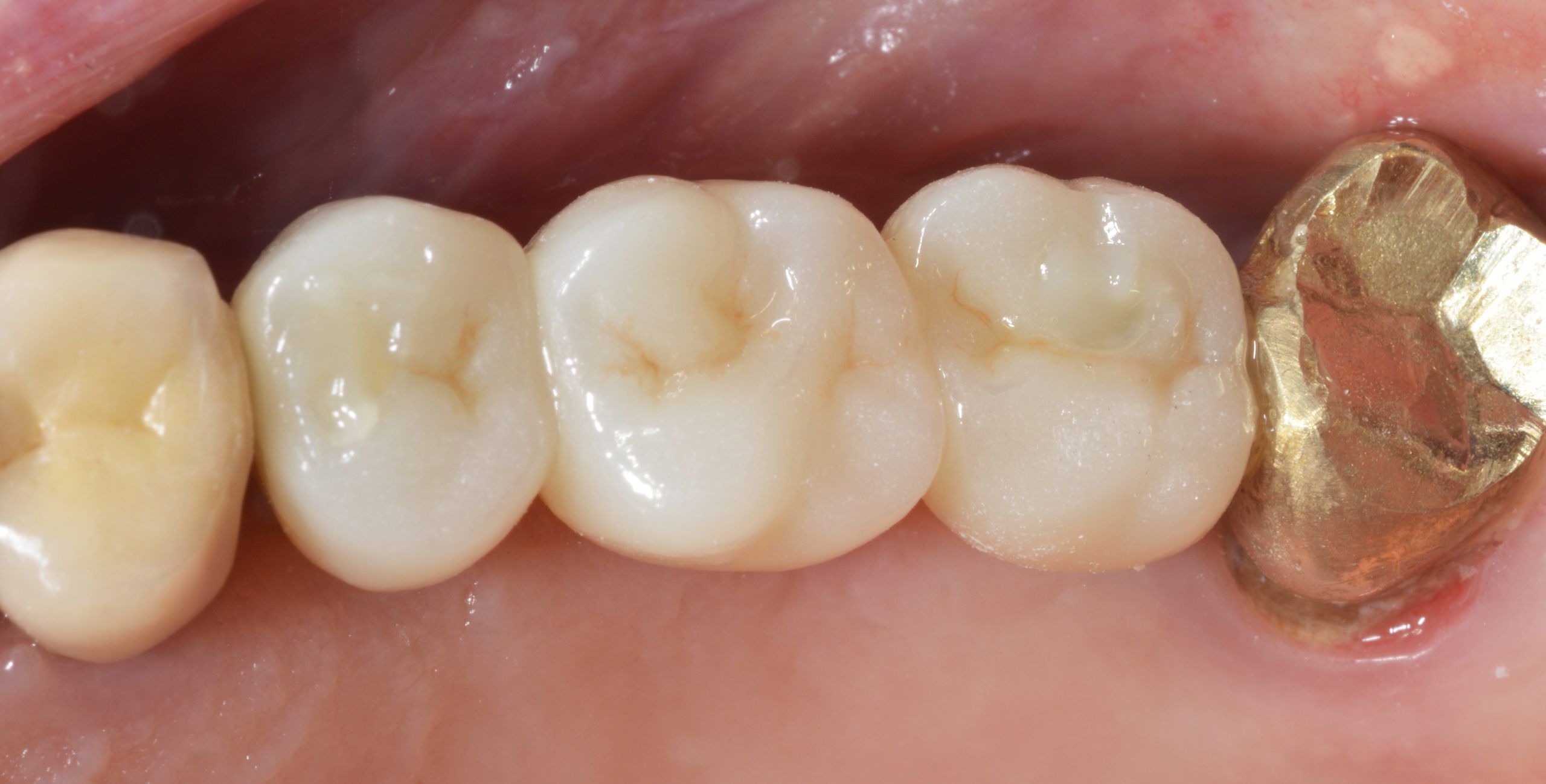
Excellent fit and functional as well as highly esthetic result. The final prosthesis was placed five months after implant placement. The occlusal screw openings were “service-friendly” sealed with composite.
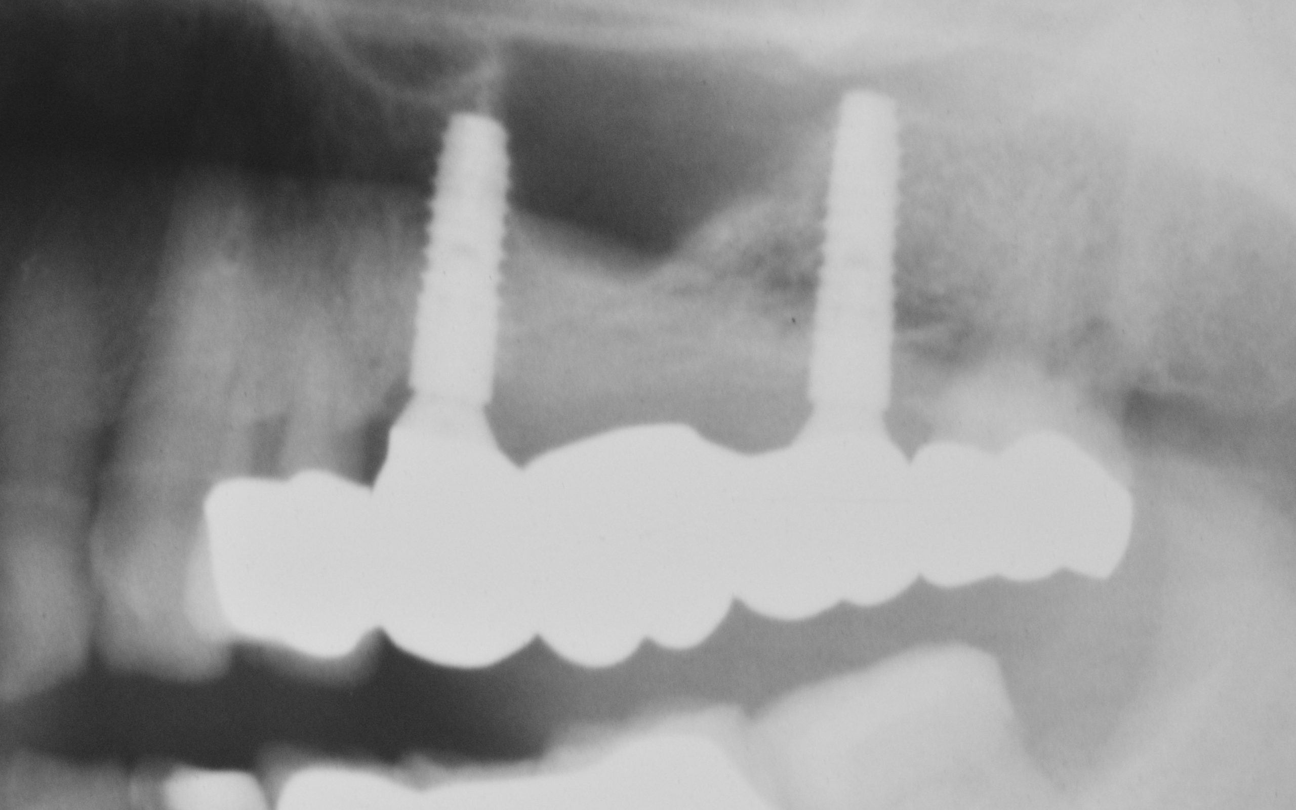
X-ray control image 23 months after implantation.
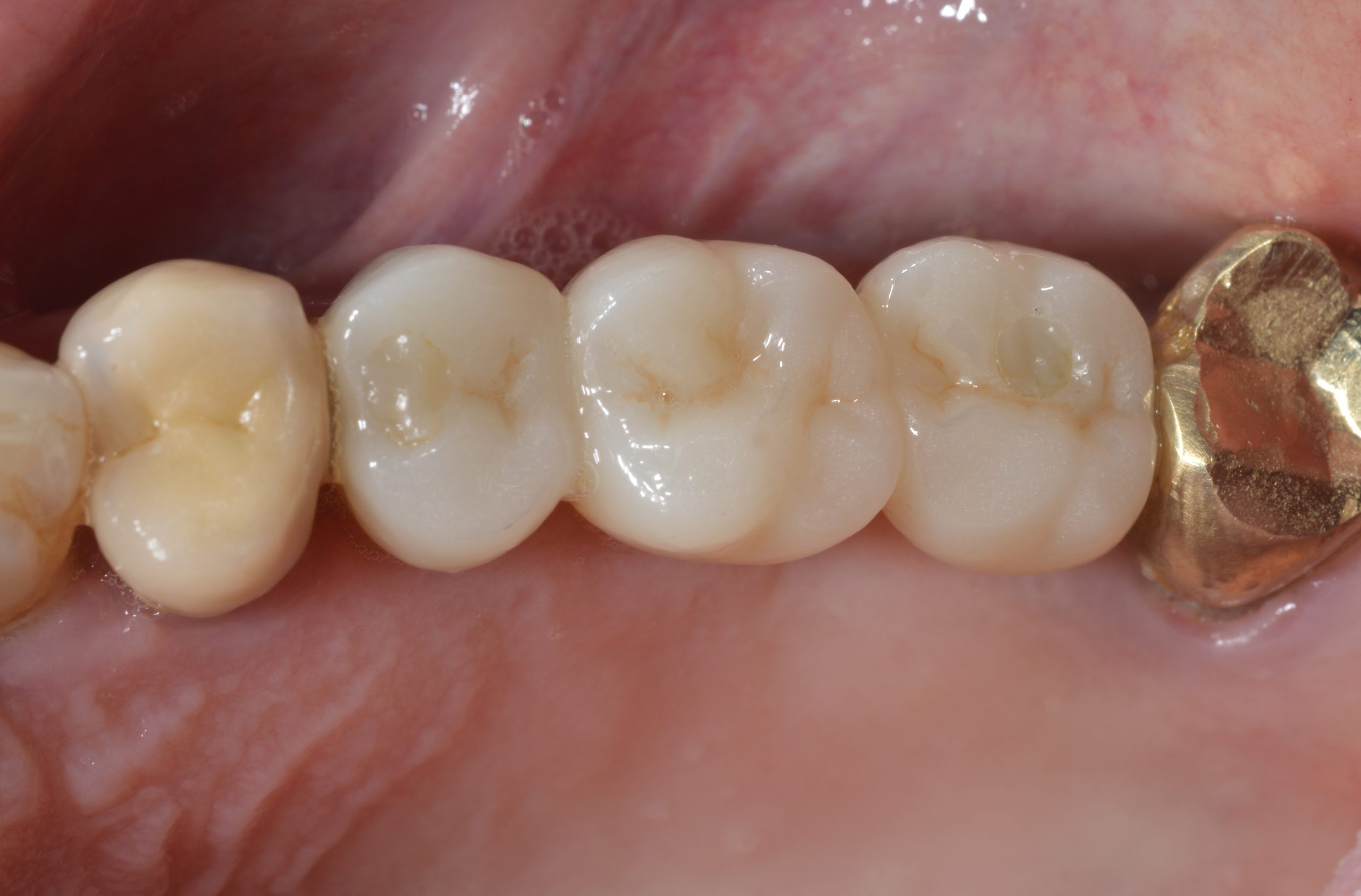
Good soft tissue stability is also evident 23 months after implant placement. Satisfactory cleaning also contributes to this.
Here you can download clinical casebook












