Functional for 23 years: 3.7 mm diameter implant after a front tooth injury
MUDr. Jaroslav Tvrdik
- Jaroslav Tvrdik graduated from the Faculty of Medicine, Charles University in Prague.
- He completed an internship in the intensive care unit at Kath. Marienkrankenhaus Hamburg and at the Eppendorf State Clinic.
- In the years 1980–1990, he participated in the regular surgical program of the First Faculty of Medicine of Charles University in Prague under the leadership of Prof. MUDr. Jaroslav Toman, DrSc. In the years 1975–1995, he worked in the field of oral and maxillofacial surgery at a Prague hospital.
- For twenty years, he was chairman of the Regional Dental Chamber for Prague 6.
Anamnesis
The patient presented 14 days after the extraction of tooth 11 due to an injury and requested an implant-supported restoration. In March 2001, pathological changes were detected in the area of the planned implantation. A sequestrectomy was performed and the gap was treated with a removable temporary prosthesis. The implant treatment was scheduled for October 2001. The IMPLADENT implant with a diameter of 3.7 mm and a length of 12 mm was inserted in November 2001. After the implant healed, a metal-ceramic crown was fitted in June 2002. The patient came for regular recalls. No subjective or objective changes were observed. Despite significant bruxism, the original dental restoration is still functional and esthetic after 23 years.
Clinical casebook
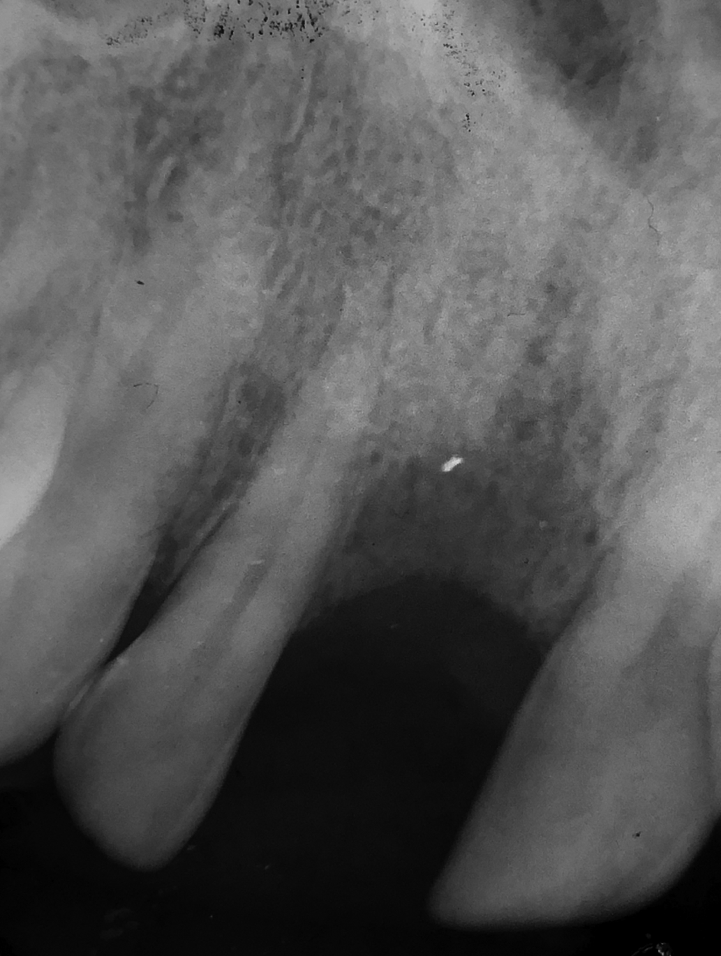
Initial situation after extraction of tooth 11 due to trauma. The patient wishes to replace the missing tooth with an implant. In March 2001, pathological changes were detected in the implant site. A sequestrectomy was performed, and the gap was treated with a removable temporary restoration.
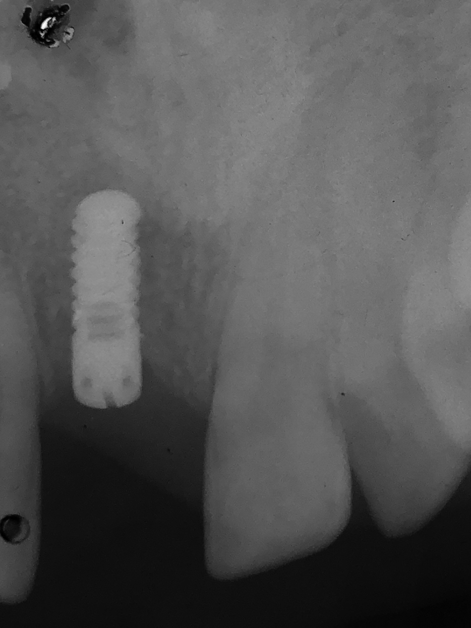
An implant with a diameter of 3.7 mm and a length of 12 mm was inserted in November 2001. A follow-up X-ray was taken 5 months after implantation.
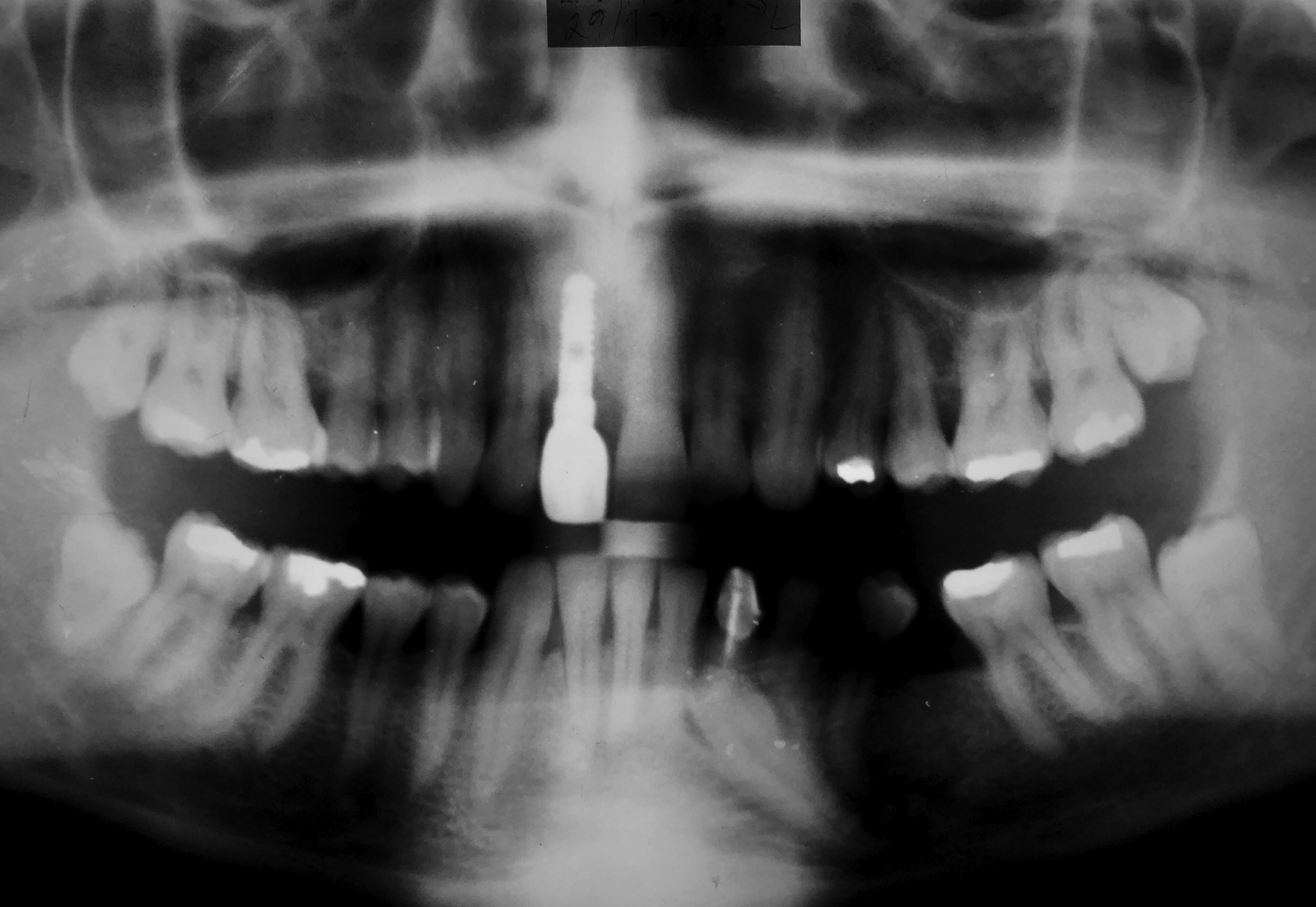
After the implant healed, a metal-ceramic crown was fitted in June 2002. No objective or subjective changes were noted during regular recalls. Follow-up X-ray was taken in January 2003.
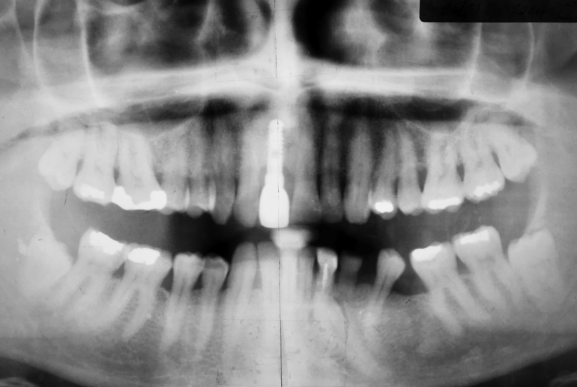
The most recent X-ray from November 2024. The implant has been functional for 23 years. Despite significant bruxism, the original dental restoration remains both functional and esthetically intact.
Here you can download clinical casebook




