Functional for 21 years: bone defect treatment without the use of bone substitutes using 2.9 mm diameter implants

MUDr. Jaroslav Tvrdik

  • Jaroslav Tvrdik graduated from the Faculty of Medicine, Charles University in Prague.
  • He completed an internship in the intensive care unit at Kath. Marienkrankenhaus Hamburg and at the Eppendorf State Clinic.
  • In the years 1980–1990, he participated in the regular surgical program of the First Faculty of Medicine of Charles University in Prague under the leadership of Prof. MUDr. Jaroslav Toman, DrSc. In the years 1975–1995, he worked in the field of oral and maxillofacial surgery at a Prague hospital.
  • For twenty years, he was chairman of the Regional Dental Chamber for Prague 6.

Anamnesis

The patient presented in May 2002 with pain in tooth 36. The tooth was extracted and the inflammation healed. Due to the width of the gap and the volume of the alveolar bone, two IMPLADENT implants with a diameter of 2.9 mm were implanted in June 2003. After the healing phase, a metal crown coated with Adoro material was fitted. The patient visited the dental office for regular recalls over the next 21 years after treatment. The restoration required one revision during this period. At the last recall in March 2024, i.e. 21 years after insertion, the implants remained stable. Based on a comparison of X-rays, no bone resorption was detected around the implants over the years.

 

Clinical casebook

Initial situation of tooth 36 in May 2002. The tooth was subsequently extracted and the site was adequately prepared.

 

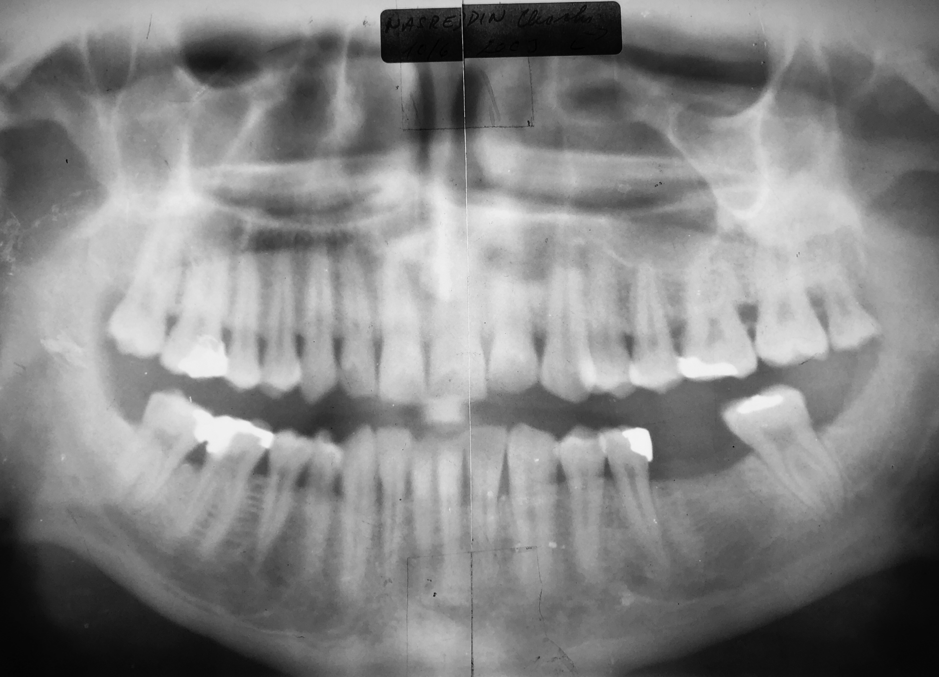
X-ray taken in June 2003 showing successful healing of the extraction site without the use of a bone substitute. Considering the width of the gap and the volume of the alveolar bone, two implants with a diameter of 2.9 mm were used.

 

At the 10-year recall in April 2013, the prosthetic restoration was still fully functional, and the peri-implant tissues remained healthy.

 

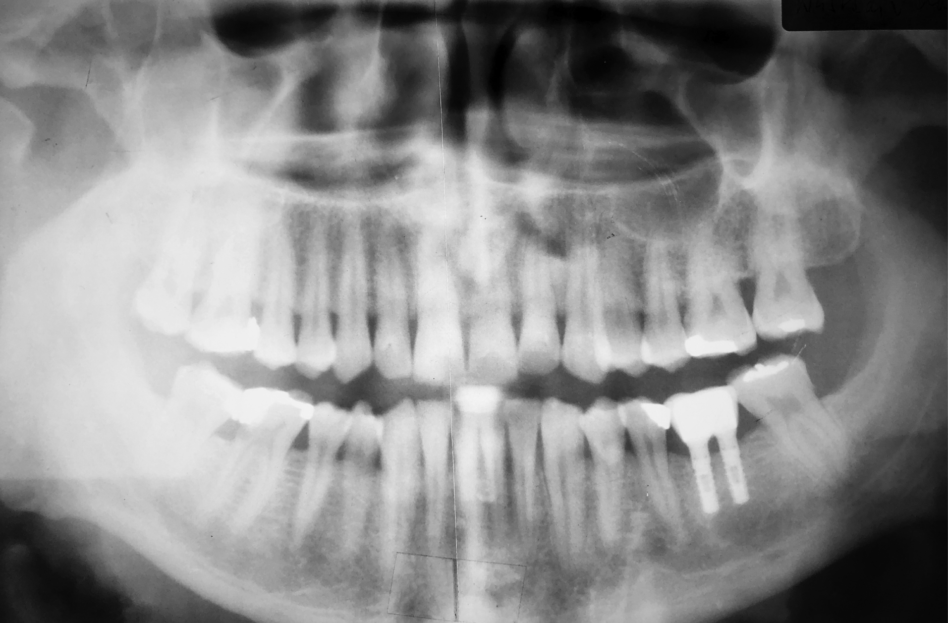
At the 21-year recall in March 2024, a follow-up X-ray confirmed implant stability with an unremarkable clinical presentation. No peri-implant bone resorption was detected over the entire period (0 mm).

Over the past 20 years, we have treated 22 patients with 46 implants (one patient bilaterally) using the above method. With the exception of one implant that was rejected during the healing process, the results have always been comparable to those presented in this case. To date, none of the patients has experienced implant failure.

 

 

Here you can download clinical casebook